オリーブ歯科・矯正歯科
歯科医師内藤 広太郎




point01
痛みが少ない
目立たない

point02
人前に立つ機会の多い方、人生の大切なイベントをひかえた方でも安心

時間をかけておこなった美しい歯並びを維持するために、
6か月、12か月、24か月、36か月の定期メンテナンスにご来院いただけます。
mainte
nance
当院は、矯正歯科治療を行いながら、虫歯治療や歯周病治療などの一般歯科治療を総合的に行えるため、矯正中に起こりがちな虫歯のリスクや何度も通院する煩わしさを軽減できます。
小児矯正についても、
お子様が大人になったときを見据えた治療を行っています。


矯正治療を前提とした歯周病治療、マイクロエンド(根管治療)、インプラント、虫歯治療、セラミック治療、予防、メンテナンスなど、患者様の口腔内を矯正だけでなく、総合的、包括的に診査・診断を行い、トータルで最善の治療を最適なタイミングで行うことが可能です。

doctor
greetings


インビザラインは、従来型の装置では生活スタイルによって
矯正踏み出せなかった方も、一歩踏み出せる「痛みが少ない
、目立たない」歯科矯正です。
「人前に立つ機会の多い方」「多くの人接する社会人の方」
「人生の大切なイベントを控えた方」でも目立たない安心感を
お届けする、それがインビザラインです。
SPECIALIST

オリーブ歯科・矯正歯科
歯科医師内藤 広太郎

オリーブ歯科・矯正歯科
歯科医師吉田 京花
オリーブ歯科・矯正歯科
理事長・歯科医師鈴木 貴詞
2000 愛知学院大学歯学部卒業
2005 オリーブ歯科・矯正歯科開院
2010 医療法人社団オリーブ歯科・矯正歯科設立 理事長に就任
2020 アトレ竹芝分院
| 2000年 | 愛知学院大学歯学部卒業 |
|---|---|
| 2001年 | 日本MEAW研究会学会に参加 |
| 2002年 |
Nd-Yag,Er-Yagレーザー(イタリアのDEKA社製)の臨床応用を研鑚 Dr. Mcnamaraコース受講 |
| 2003年 |
日本インプラント臨床研究会100時間コース受講 POIインプラントサティフィケート取得 Gore Regenerative Materialサティフィケート取得 Ankylosインプラントサティフィケート取得 |
| 2005年 |
Biconインプラントセンター(アメリカのボストン市)にて研修 Biconインプラントサティフィケート取得 オリーブ歯科・矯正歯科開院 3iインプラントサティフィケート取得 |
| 2007年 |
JIADS研修会ペリオコース受講 JIADS研修会Perio&Implantアドバンスコース受講 JHエンドシステムコース受講 |
| 2008年 | JIADS研修会エンドコース受講 Dr.Scuzzo NEW Stb ライトリンガルシステムセミナー受講 AQBインプラントサティフィケート取得 |
| 2009年 |
ガダイバーコース in Guam受講 AQBインプラントアドバンスコース修了 インビザラインサティフィケート取得 アンチエイジング歯科診療(ボトックス・ヒアルロン酸注入 点滴療法、サプリメント療法、血液オゾン療法etc.) トレーニングコース修了 |
| 2010年 |
医療法人社団 オリーブ歯科・矯正歯科設立 理事長に就任 All-on-4 Course受講 ニューヨーク大学(インプラントCDEプログラム)入学 青島医科大学にて解剖実習 大阪歯科大学にてNYUセッションに参加 ICOI(国際インプラント学会)inアモイ参加 |
| 2011年 |
SJCDマイクロデンティストリーコース受講 Dr.Steigmann in Vietnam参加 医療法人社団 オリーブ歯科・矯正歯科 赤羽南口開設 ルーマニア(Brasov)の歯科診療所にてサイナスリフト施術 |
| 2012年 |
ニューヨーク大学(インプラントCDEプログラム)卒業 医療法人社団 オリーブ歯科・矯正歯科 赤羽ダイエー店開設 早春塾 7期生 イーラインリンガルストレートワイヤーアドバンスコース受講 |
| 2013年 |
Ken’sホワイトニングセミナー受講 日本舌側インプラント矯正研究会に参加 |
| 2014年 |
医療法人社団 オリーブ歯科・矯正歯科 千石駅前開設 コロンビア大学(ICOI指導医研修プログラム)にて研修 |
| 2015年 | Palti Dental Center(ドイツのバーデンバーデン市)にて 国際インプラント学会指導医筆記試験合格 グアテマラのUniversityFranciscoMarroquin大学病院にて ニューヨーク大学のインプラント科教授Dr.SangChoonCHOと共に 3名の患者にサイナスリフト施術 ICOI(国際インプラント学会)in カンボジアにて 国際インプラント学会 指導医認定授賞式に参加 Dr.Sang-Choon Cho's Two-Day Hands-on Seminar In KOREAに参加 |
| 2016年 | 東京医科歯科大学歯学部付属病院臨床研修指導歯科医講習会に参加 ICOI AUTUMN CONGRESS SINGAPOREに参加 広域医療法人社団 オリーブ歯科・矯正歯科 MARKISみなとみらい店開設 |
| 2017年 | GLOBAL PROGRAM 3期生 ICOI日本支部総会・学術大会に参加 |
| 2018年 | ニューヨーク大学(歯内療法CDEプログラム)受講 タイ王国国立チュラロンコン大学歯学部付属病院にて総合美容歯科研修修了 ウィーン大学Fresh cadaver soft-hard tissue management ハンズオンコース受講 |
| 2019年 | JapanInvisalignForumに参加 第七回美容塾に参加 Invisalign Diamond Doctor Program(by Dr.Regina Blevins) in Chengduに参加 |
| 2020年 | 医療法人社団 オリーブ歯科・矯正歯科 アトレ竹芝院開設 |




そんな方のために当院では、ワイヤー矯正からインビザラインへの乗り換え割を行なっております。
まずはワイヤーで正位置に矯正し、インビラザインで対応可能になったら、目立たない矯正へ乗り換えることが可能です。
インビザライン乗り換え割
オリーブ歯科・矯正歯科での
ワイヤー矯正治療をされた方のみ適応
250,000円(税込:275,000円)
患者様ひとり一人に最適な治療プランと、
痛みに配慮した丁寧な治療をご提供しますまずは無料相談に
お越しください
最適な矯正治療のためにまずは患者様のご要望をお聞かせください。
まずは無料相談で患者様の生活スタイルや治療期間・費用などあらゆる面の不明点や懸念
点を解消しましょう。お気軽にご相談ください。
お電話の際は、
「インビザラインサイトを見た」とお伝えください。
REASONS
矯正治療だけでなく、虫歯や歯周病などの一般歯科から予防歯科まで幅広い歯科治療が当院だけで完結できます。
アトレ竹芝タワー3階という好立地、20時までの診療時間と、土曜診療といった条件から、お忙しい患者様でも通院しやすくなっています。
多くの方に良質な治療を受けていただけるよう、一般的な治療費相場よりも安く、適正な価格でご提供しています。
女性ドクターが在籍しているので、女性の方はもちろん、お子様も安心して治療を受けていただけます。
患者様のお口の状態に応じて、様々な治療方法を選択していただけます。
歯列矯正で数多くの症例を経験し、矯正歯科治療はもちろん、矯正中に起こりがちな虫歯や歯周病などの一般歯科治療にも対応できる、総合的な技術を持って治療を行いますので、安心してお任せください。
ITERO 3D
SCANNER
あなたの歯並びにも適応可能か
簡単に検査できる
3Dシミュレーション実施中!
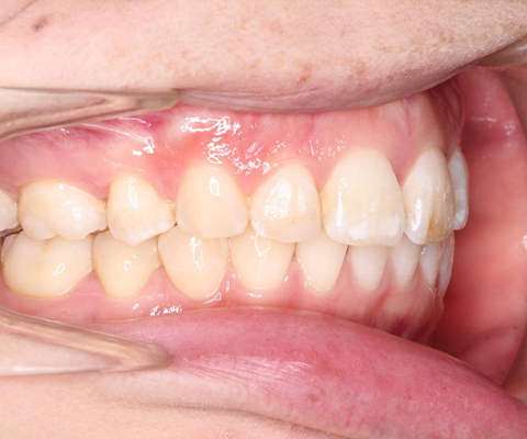
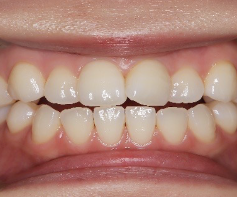
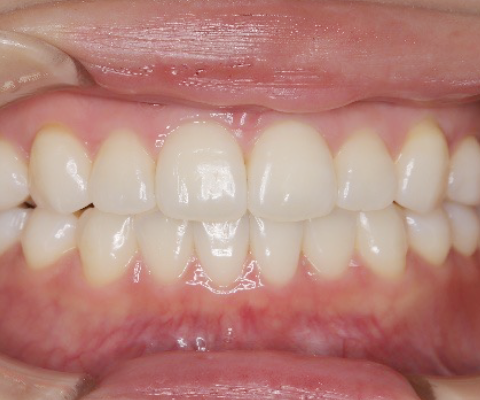
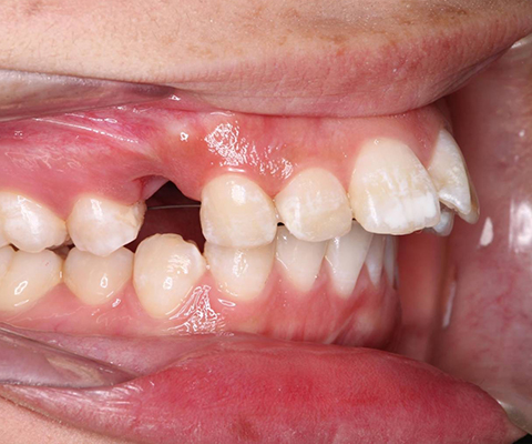
case
PLAN
| アトレ竹芝院 | 赤羽・千石・みなとみらい院 | |||
|---|---|---|---|---|
| 精密検査 | 50,000円 |
35,000〜50,000円 |
||
| インビザライン モデレート |
新製品モデレートパッケージ発売記念 | |||
![]() 400,000円 |
||||
| 月々 | 4,000円〜 (税込4,400円〜) ※デンタルローン利用の場合 |
|||
| インビザラインフル | キャンペーン価格 | |||
![]() 450,000円 |
600,000円 |
|||
| 月々 | 4,500円〜 (税込4,950円〜) ※デンタルローン利用の場合 |
月々 | 6,000円〜 (税込6,600円〜) ※デンタルローン利用の場合 |
|
| 処置料 ※毎回のご来院時 |
3,000〜5,000円 | |||
| 保定装置料 治療終了後、歯並びを 安定させるための装置 |
A.QCMタイプスリムリテーナー(透明ワイヤー仕様) | 片 顎 | 40,000円 |
|---|---|---|---|
| B.ビベラリテーナー(ポンティック、リンガルバー対応) | 上下顎 | 60,000円 | |
| 片 顎 | 40,000円 | ||
| C.インビシブルリテーナー | 片 顎 | 20,000円 |
| アトレ竹芝院 | |||
|---|---|---|---|
| 精密検査 | |||
| 50,000円 (税込55,000円) |
|||
| インビザ ラインモデレート |
新製品モデレートパッケージ 発売記念 |
||
![]() 400,000円 通常価格:800,000円 (税込880,000円) |
|||
| 月々 | 4,000円〜 (税込4,400円〜) ※デンタルローン利用の場合 |
||
| インビザ ラインフル |
キャンペーン価格 | ||
![]() 450,000円 通常価格:900,000円 (税込990,000円) |
|||
| 月々 | 4,500円〜 (税込4,950円〜) ※デンタルローン利用の場合 |
||
| 処置料 ※毎回のご来院時 |
3,000〜5,000円 | ||
| 保定装置料治療終了後、歯並びを安定させるための装置 | A.QCMタイプスリムリテーナー(透明ワイヤー仕様) | ||
| 片 顎 | 40,000円 | ||
| B.ビベラリテーナー(ポンティック、リンガルバー対応) | |||
| 上下顎 | 60,000円 | ||
| 片 顎 | 40,000円 | ||
| C.インビシブルリテーナー | |||
| 片 顎 | 20,000円 | ||
| 赤羽・千石・みなとみらい院 | |||
|---|---|---|---|
| 精密検査 | |||
| 35,000〜50,000円 (税込37,500〜55,000円) |
|||
| インビザ ラインモデレート |
新製品モデレートパッケージ 発売記念 |
||
![]() 400,000円 通常価格:800,000円 (税込880,000円) |
|||
| 月々 | 4,000円〜 (税込4,400円〜) ※デンタルローン利用の場合 |
||
| インビザ ラインフル |
キャンペーン価格 | ||
| 600,000円 (税込660,000円) 通常価格:900,000円 (税込990,000円) |
|||
| 月々 | 6,000円〜 (税込6,600円〜) ※デンタルローン利用の場合 |
||
| 処置料 ※毎回のご来院時 |
3,000〜5,000円 | ||
| 保定装置料治療終了後、歯並びを安定させるための装置 | A.QCMタイプスリムリテーナー(透明ワイヤー仕様) | ||
| 片 顎 | 40,000円 | ||
| B.ビベラリテーナー(ポンティック、リンガルバー対応) | |||
| 上下顎 | 60,000円 | ||
| 片 顎 | 40,000円 | ||
| C.インビシブルリテーナー | |||
| 片 顎 | 20,000円 | ||
※安心の2年間の保証期間を設けています
| ホーム ホワイトニング |
5,500円 / ジェル4本SET |
|---|
矯正用マウスピースを利用してホームホワイトニングも同時に行うことが可能です。
通常、ホームホワイトニングは上下で33,000円となりますが、インビザラインをされている方は、ホワイトニングジェルのみで始めることができます。
まずは無料相談に
お越しください
最適な矯正治療のためにまずは患者様のご要望をお聞かせください。
まずは無料相談で患者様の生活スタイルや治療期間・費用などあらゆる面の不明点や懸念点を解消しましょう。
お気軽にご相談ください。
お電話の際は、
「インビザラインサイトを見た」とお伝えください。
FLOW
患者様のご要望に応えるためにまずは無料のカウンセリングから始めます。次に、口腔内が健康か、虫歯はないか、歯周病は進んでいないかといった個々の歯の健康状態をCTを使って検査を行います。
検査が終わると、期間や費用、生活スタイルを考慮して患者様にとって最適な治療方法が何かをご相談の上実際の治療がはじまります。
Q&A
group
branch
information